ទិវាពិភពលោក ប្រឆាំងជំងឺដក់ទឹកក្នុងភ្នែក២០២៦, ប្រធានមន្ទីពេទ្យភ្នែកតាកែវ អំពាវនាវប្រជាពលរដ្ឋ ចូលរួមយល់ដឹងអំពីជំងឺដក់ទឹកក្នុងភ្នែក
05-03-2026 15:02
(តាកែវ)៖ ទិវាជំងឺដក់ទឹកក្នុងភ្នែកពិភពលោក ត្រូវបានប្រារព្ធឡើងជារៀងរាល់ឆ្នាំ នៅថ្ងៃទី១២ ខែមីនា។ សម្រាប់ឆ្នាំ២០២៦នេះ មន្ទីរពេទ្យភ្នែកខេត្តតាកែវ នឹងប្រារព្ធ «ទិវាជំងឺដក់ទឹកក្នុងភ្នែកពិភពលោក» ដោយថ្នាក់ដឹកនាំ មន្ទីរពេទ្យ បានអំពាវនាវបងប្អូនប្រជាពលរដ្ឋចូលរួមយល់ដឹង អំពីជំងឺដក់ទឹកក្នុងភ្នែក ដើម្បីជៀសវាងពិការភ្នែក ដែលបង្កជំងឺដក់ទឹកក្នុងភ្នែក និងជំងឺងងឹតភ្នែកដោយស្ងៀមស្ងាត់។
លោក តែ សេរីបុណ្យ ប្រធានមន្ទីរពេទ្យភ្នែកតាកែវ បានថ្លែងឲ្យដឹងថា នេះគឺជាគំនិតផ្តួចផ្តើមជាសកលរបស់សហគមន៍វិជ្ជាជីវៈជំងឺដក់ទឹកក្នុងភ្នែកពិភពលោក ក្នុងគោលបំណងប្រយុទ្ធប្រឆាំងនឹងភាពពិការភ្នែកដែលបង្កជំងឺ ដក់ទឹកក្នុងភ្នែក «ជំងឺងងឹតភ្នែកដោយស្ងៀមស្ងាត់»។ ទិវានេះ ធ្វើឡើងក្នុងគោលបំណងអប់រំសាធារណជន អំពីសារៈសំខាន់នៃការការពារ និងព្យាបាលជំងឺដែលគំរាមកំហែង ដល់ការងងឹតភ្នែក ក្នុងដំណាក់កាលដំបូង។
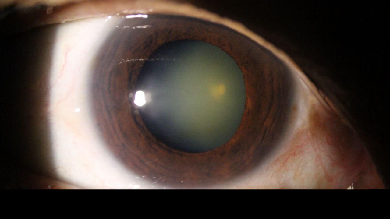
បើតាមលោក តែ សេរីបុណ្យ, ជំងឺដក់ទឹកក្នុងភ្នែក គឺជាក្រុមនៃជំងឺភ្នែកដែលបំផ្លាញសរសៃប្រសាទភ្នែកបន្តិចម្តងៗ ដែលនាំឱ្យងងឹតភ្នែកនៅទីបំផុត ដោយមិនមានរោគសញ្ញា ប្រាប់អ្វីមុនឱ្យបានដឹងក្នុងដំណាក់កាលដំបូងឡើយ។ ដូចដែលយើងបានដឹងហើយថា អត្រាពិការភ្នែកនៅតែមានភាគរយខ្ពស់ ដែលជាកត្តាចាំបាច់ត្រូវតែមានការអន្តរាគមន៍ ឱ្យទាន់ពេលវេលា។
ជំងឺដក់ទឹកក្នុងភ្នែកគឺជាផ្នែកមួយដែលបណ្តាលឱ្យមនុស្សរាប់លាននាក់គ្រប់វ័យបាត់បង់កំហើញ មានន័យថា មនុស្សគ្រប់រូបអាចកើតជំងឺដក់ទឹកក្នុងភ្នែកបាន ដោយកត្តាហានិភ័យរួមមាន ការកើនឡើងនៃអាយុ, ប្រវត្តិគ្រួសារ, ជំងឺមួយចំនួនដូចជា ទឹកនោមផ្អែម, សម្ពាធឈាមខ្ពស់, និងសម្ពាធក្នុងភ្នែកខ្ពស់ ។ អ្វីដែលគួរប្រុងប្រយ័ត្នបំផុតចំពោះជំងឺដក់ទឹកក្នុងភ្នែក គឺថា នៅពេលដែលបាត់បង់គំហើញហើយ វាមិនអាចជួយអ្វីវិញបានទេ។
លោកប្រធានមន្ទីរពេទ្យភ្នែកតាកែវ បានបន្ថែមថា ទិវាពិភពលោកប្រឆាំងជំងឺដក់ទឹកក្នុងភ្នែក គឺជាការផ្សព្វផ្សាយសារដ៏សំខាន់មួយដើម្បីលើកកម្ពស់អន្តរាគមន៍ ពីសំណាក់សហគមន៍គ្រប់ជាន់ថ្នាក់ ព្រោះជំងឺនេះ អាចការពារនិងភាគច្រើនអាចចៀសវាងបាន ប្រសិនបើគេអាចដឹងសញ្ញាវានៅដំណាក់កាលដំបូង។
លោកថា ដោយសារជំងឺដក់ទឹកក្នុងភ្នែកនេះ ជាជំងឺស្ងៀមស្ងាត់ ដូច្នេះមនុស្សជាច្រើនមិនដឹងថាខ្លួនកើតជំងឺនេះទេ រហូតដល់ពួកគេចាប់ផ្តើមបាត់បង់គំហើញ ដែលប៉ះពាល់ដល់សកម្មភាពប្រចាំថ្ងៃទើបបានដឹង។ ការវិវត្តនៃជំងឺដក់ទឹកក្នុងភ្នែកអាចត្រូវបានពន្យារពេល ឬបញ្ឈប់បាន តាមរយៈការធ្វើរោគវិនិច្ឆ័យទាន់ពេលវេលា និងការព្យាបាលត្រឹមត្រូវដោយអ្នកជំនាញសុខភាពភ្នែក ដោយប្រើប្រាស់ថ្នាំសមស្រប ឬអន្តរាគមន៍ដោយវះកាត់ -ល-។
សម្រាប់លោក តែ សេរីបុណ្យ, ទិវាពិភពលោកប្រឆាំងជំងឺដក់ទឹកក្នុងភ្នែក ជួយជំរុញ និងរំលឹកដល់ប្រជាជន ឬបុគ្គលគ្រប់រូប ឱ្យចូលរួមឱ្យយល់ដឹងអំពីជំងឺដក់ទឹកក្នុងភ្នែកជាសាកល ជាពិសេសប្រជាជនដែលរស់នៅតាមតំបន់ជនបទ ដែលខ្វះព័ត៌មានសុខភាពភ្នែក និងសេវាថែទាំភ្នែកដែលមិនមាន នៅក្នុងសហគមន៍របស់ពួកគេ៕













